肩こり・腰痛・ひざ・姿勢矯正

体の痛みを根本改善!
ハートメディカルにお任せ下さい!
名古屋の
鍼灸接骨院
鍼灸接骨院
- 月間15,000人が来院!その人気の秘密は「根本改善」
- 交通事故専門院として当院が認定
- 丁寧な施術とカウンセリング、女性スタッフ在籍

こんにちは!さくらやま鍼灸接骨院(名古屋市昭和区)の谷澤です。
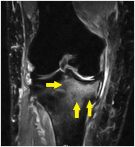
骨の中がむくんだり、血が溜まったり、炎症をおこすことを骨挫傷といいます。
【検査】
骨といえばレントゲンというイメージが強いですが、骨挫傷はレントゲンで分かりません。
MRIで骨をみるとわかります。

【施術】
スポーツ時の痛みは、テーピングで圧迫すると弱くなることがあります。
鍼でも一時的に痛みを減らせることがあります。
少しでも痛みが取りたいという方は一度ご相談下さい。
所在地:名古屋市昭和区桜山5丁目98-5 ふじもビル1F
電話:052-842-0550
